Neuorologie
Röntgenaufnahme einer Halswirbelfraktur.

Boxenruhe statt Abenteuer

Ein Junghund mit traumatischer Halswirbelfraktur

Fall des Monats August

Im Tages Notdienst wird der 14 Wochen alte Aussidoodelrüde Kobe vorgestellt. Er ist im Spiel mit voller Wucht gegen die Fenster­scheibe gerannt, hat einmal aufgeschrien und danach aber kurz noch weitergespielt. Erst als er zur Ruhe kam, zeigte er deutliche Schmerzäußerungen, wollte nicht mehr laufen, hielt seinen Hals steif, legte den Kopf kaum bis gar nicht ab, war unruhig, hechelte stark und speichelte vermehrt. Bei der klinischen Untersuchung waren die Vitalparameter im Normbereich, aber Kobe wirkte insgesamt deutlich angeschlagen und ruhiger als üblich. Er war ansprechbar, konnte selbständig gehen, zeigte keinerlei Ataxie oder Parese. Sein Nacken war steif und bei Manipulationen zeigte er Schmerzen, insbesondere bei Ventroflexion und Extension. Der Kopf blieb bei Bewegungen steif, die Propriozeption war intakt, Rückenpalpation ohne besonderen Befund.

Diagnostische Maßnahmen: Zunächst wurden Röntgenbilder unter Sedation angefertigt, um die Halswirbelsäule zu beurteilen. Aufgrund der Ergebnisse (Verdacht auf Wirbelfraktur c2 inklusive Subluxation) wurde eine CT-Untersuchung empfohlen, um die genaue Fraktur- und Subluxationslage zu klären.

CT-Befund

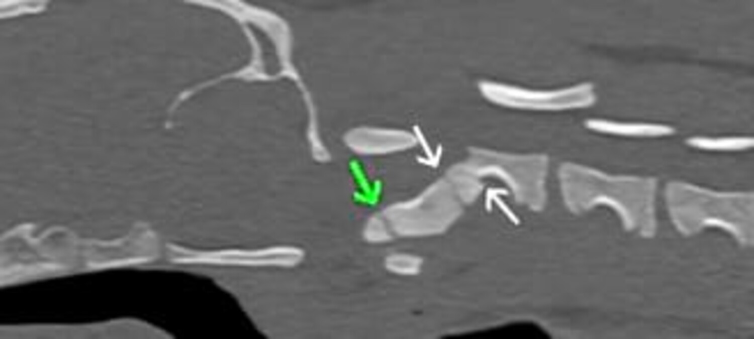
  • Es zeigten sich bilaterale, lineare, hypoattenuierende Linien durch die dorsalen Bögen (Laminae) von C1 (Atlas), was auf Frakturen hindeutet.
  • Es besteht eine kraniale Verlagerung des Dens axis (Odontoidfortsatz) in Richtung des Foramen vertebrale von C1, was auf eine atlantoaxiale Subluxation bzw. Instabilität hinweist.
  • Der Dens selbst ist nicht frakturiert, aber malpositioniert.
  • Die Wachstumsfugen sind noch offen, was bei einem Welpen normal ist.
  • Es zeigt sich eine Abflachung des ventralen Spinalkanals auf Höhe des Dens, was auf eine Einengung (Stenose) und mögliche Rückenmarkskompression hindeutet.
  • An den Wirbelkörpern von C2 sind zwei frische Frakturlinien sichtbar, die auf akute Frakturen hinweisen, mit einer mittleren Frakturverschiebung (Verhältnis 1,39), was auf eine mittelstarke bis starke Verrenkung schließen lässt.

Diagnose: Traumatische Fraktur von C1 und C2 mit atlantoaxialer Subluxation und Stenose des zervikalen Spinalkanals

Behandlungsstrategie

  • Konservative Therapie wurde gewählt, da es sich um eine Fraktur des zweiten Halswirbels (C2) handelte. Es ist beschrieben, dass sowohl operative als auch konservative Behandlungen vergleichbare Erfolge erzielen können.
  • Ziel ist Schmerzmanagement und strikte Bewegungsrestriktion für mindestens 4–6 Wochen.
  • Kobe wurde für 2 Tage stationär aufgenommen, erhielt intravenöse Infusionen, Schmerzmittel und bei Bedarf etwas zur Beruhigung.
  • Es wurde keine Halsorthese (Neck Brace) verwendet, um Muskelschwund zu vermeiden, stattdessen wurde auf strikte Ruhe und kontrollierte Bewegungen gesetzt.

Verlauf

  • Bereits nach 2 Tagen zeigte Kobe eine deutliche Schmerzreduktion, er wirkte wacher und lebhafter.
  • Nach einer Woche war er sehr aktiv, zeigte kaum Schmerzen, aber die Ruhighaltung/Boxenruhe wurde weiterhin empfohlen. Mehrere kurze Spaziergänge täglich (ca. 5–15 Minuten) mit kontrollierten, ruhigen Bewegungen sind erlaubt. Die Schmerzmittel werden abgesetzt,
  • Im Kontroll-CT nach 4 Wochen zeigte sich eine beginnende Knochenheilung: Es wurde eine frühe Kallusbildung sichtbar, die Frakturlinien waren noch erkennbar, aber es gab Anzeichen für beginnende Überbrückung der Frakturen. Die Ausrichtung der Wirbel war stabil, keine Verschlechterung der Subluxation. Die strikte Bewegungsrestriktion wird aufgehoben. Allerdings sind die Frakturen noch nicht vollständig verheilt, daher heißt es weiterhin Kobe ruhig zu halten, und wildes Toben sowie Spiel sollten zu vermeiden. Spaziergänge an der Leine dürfen langsam gesteigert werden. Auch kontrollierte Bewegungen wie Schwimmen sind erlaubt.
  • Im Kontroll-CT nach 8 Wochen zeigte sich eine vollständige Genesung: Die Kallus­bildung war gut mineralisiert, die Frakturlinien kaum mehr sichtbar, die Subluxation deutlich verbessert. Die Wirbelsäule war stabil, keine Anzeichen einer Rückenmarkskompression mehr. Die Wachstumsfugen schlossen sich teilweise, was altersentsprechend ist

Fazit

Kobe hat sich nach einer traumatischen Halswirbelverletzung gut erholt. Die Frakturen sind weitgehend verheilt, die Stabilität ist wiederhergestellt. Es wird weiterhin empfohlen, vorsichtig mit Aktivitäten zu sein, um die Halswirbel zu schützen, da diese möglicherweise eine Schwachstelle bleiben könnten. Regelmäßige Kontrolluntersuchungen sind sinnvoll, um den Heilungsverlauf zu überwachen. Bei rechtzeitiger und angemessener Behandlung sowie guter Pflege ist die Prognose bei Junghunden in der Regel sehr gut.

Zusammenfassung

Wirbelfrakturen beim Hund entstehen überwiegend durch traumatische Ereignisse wie Stürze, Kollisionen oder Autounfälle, während pathologische Ursachen wie Tumoren, Infektionen oder angeborene Fehlbildungen deutlich seltener sind. Klinisch äußern sich diese Verletzungen vor allem durch Schmerzen, Schonhaltungen und eine eingeschränkte Bewegungs­bereitschaft; treten neurologische Ausfälle wie Ataxien, Paresen oder Lähmungen auf, weist dies meist auf eine Beteiligung des Rückenmarks hin. Die Diagnostik stützt sich auf eine sorgfältige klinisch-neurologische Untersuchung sowie auf bildgebende Verfahren. Röntgenaufnahmen erlauben eine erste Einschätzung, während die Computertomographie die exakte Beur­teilung von Frakturverlauf und Stabilität ermöglicht. Bei Verdacht auf Rücken­marks­schädigungen liefert die Magnetresonanz­tomographie zusätzliche Informationen. Die Therapie richtet sich nach der Fraktur­stabilität und dem neurologischen Status. Stabile Frakturen ohne gravierende Ausfälle können oft konservativ mit strikter Bewegungsrestriktion und Schmerz­management behandelt werden, während instabile Frakturen oder fortgeschrittene neurologische Defizite häufig eine chirurgische Stabilisierung erfordern. Die Prognose ist bei konservativ behandelten, stabilen Frakturen meist günstig, wohingegen instabile Frakturen mit Rückenmarksbeteiligung vorsichtiger bewertet werden müssen. Eine Ausnahme machen instabile Frakturen beim Junghund wie Kobe. Da sich diese Tiere noch im Wachstum befinden, besitzen sie eine hohe Regenerationsfähigkeit. Ihr Knochenstoff­wechsel ist aktiv, und die Knochenheilung verläuft in der Regel schneller und effektiver als bei erwachsenen Tieren. Ein an­schau­liches Beispiel für den erfolgreichen konservativen Verlauf bietet Kobes Fall, der sich nach einem unglücklichen Zusammenstoß mit einer Fensterscheibe wieder vollständig erholt hat.

Hintergrund der Entscheidungsfindung

Die Studie von Schmidli et al., 2019 – Fractures of the second cervical vertebra in 66 Dogs and 3 Cats: A Retrospective Study – zeigte, dass es grundsätzlich keinen signifikanten Unterschied im Therapieerfolg zwischen chirurgischer und konservativer Behandlung bei Frakturen der zweiten Halswirbelsäule gibt. Basierend auf diesen Erkenntnissen wurde im Fall von Kobe eine konservative Therapie mit Schmerz­be­handlung und strikt eingeschränkter Bewegung für mindestens 4–6 Wochen empfohlen. Es wird erwartet, dass sich durch die Callusbildung eine ausreichende Stabilisierung der Frakturen einstellt. Die Verwendung einer Halsorthese (Neck Brace) wurde nicht empfohlen, da diese häufig zu Muskelschwund (Muskelatrophie) führt. Die zervikale Muskulatur spielt jedoch eine entscheidende Rolle bei der Aufrecht­erhaltung der Stabilität während des Heilungsprozesses.

Abb. 1: Verdacht auf eine Fraktur des Wirbelkörpers C2 und eine Subluxation von C2 nach dorsal im Röntgen
Abb. 1: Verdacht auf eine Fraktur des Wirbelkörpers C2 und eine Subluxation von C2 nach dorsal im Röntgen
Abb. 2: CT – Frakturlinien mit weißen Pfeilen, Wachstumsfuge mit grünem Pfeil gekennzeichnet
Abb. 2: CT – Frakturlinien mit weißen Pfeilen, Wachstumsfuge mit grünem Pfeil gekennzeichnet
Abb. 3: Disclocation ratio = 1,39, was auf eine mittelstarke bis starke Verrenkung hindeutet
Abb. 3: Disclocation ratio = 1,39, was auf eine mittelstarke bis starke Verrenkung hindeutet
Abb. 3: Disclocation ratio = 1,39, was auf eine mittelstarke bis starke Verrenkung hindeutet
Abb. 3: Disclocation ratio = 1,39, was auf eine mittelstarke bis starke Verrenkung hindeutet
Abb. 5: CT 8 Wochen post Trauma: Kallusbildung mit regelhafter Mineralisation im Bereich der ursprünglichen Frakturlinien
Abb. 5: CT 8 Wochen post Trauma: Kallusbildung mit regelhafter Mineralisation im Bereich der ursprünglichen Frakturlinien
Trotz aller Herausforderungen erkundet Kobe mit erhobenem Haupt weiterhin die Welt.
Abb. 6: Trotz aller Herausforderungen erkundet Kobe mit erhobenem Haupt weiterhin die Welt.