Chirurgie
Nahaufnahme einer flauschigen, grau getigerten Katze, die gemütlich zwischen hellen Kissen und einer weißen Kuscheldecke liegt.

Chylothorax – Darstellung mittels NIR-Spektroskopie

Fall des Monats April


Heute möchten wir Ihnen Merlin vorstellen. Merlin ist ein fast 5 Jahre alter, kastrierter Main Coon Kater, der uns überwiesen wurde mit einem Chylothorax.

Die überweisenden Kollegen hatten bereits mehrfach in den letzten 3 Tagen eine Thorakozentese durchgeführt, dies brachte Merlin nur eine kurze Verbesserung seiner Atmung. In den mitgebrachten Laborunter­suchen zeigte sich eine Lymphopenie, Eosinophilie und pro BNP, FeLV/FIV waren ohne besonderen Befund. Die Triglyceride in der Ergussanalyse waren deutlich höher im Vergleich zur Blut­unter­suchung, ein Proteingehalt von 5,5 g/dl und mikro­skopisch stellten sich keine Bakterien sichtbar dar.

In der Erstvorstellung bei und in der Klinik zeigte Merlin sich von gutem Allgemein­befinden, die Vitalparameter lagen im Normbereich lediglich eine Tachypnoe mit 60 Atemzügen/min war auffällig. Die Echokardiographie war ohne besonderen Befund, sodass eine kardiogene Ursache ausgeschlossen werden konnte.

Merlin konnte nach erneuter Thora­ko­zen­tese mittels Thoraxkatheter, Therapiestart mit Rutin, Prednisolon und Buprenorphin zwei Tage lang stabil gehalten werden. Dann zeigte er erneut eine abdominal betonte Tachypnoe mit verschärftem Atem­geräusch. Sonographisch ließ sich ein bilateraler hgr Thoraxerguss sowie eine sehr verdickte und gewebige Pleura darstellen. Diese Befunde konnten in der anschlie­ßenden Computertomographie bestätigt werden, zusätzlich stellte sich der Ln. Sternalis mgr. vergrößert dar und im linken caudalen Lungenlappen war eine struk­tu­relle Veränderung zuerkennen (hypo­attenuierte, intraparenchymal, Kontrastmittel aufnehmend). (Abb. 1-3)

Im Anschluss folgte eine Thorakoskopie mittel 3 Port-Technik.

Die Pleura stellte sich in der OP, wie erwarte, stark verdickt dar, es wurde eine erhebliche Menge an chylösem abgesaugt. Der Ductus thoracicus wurde mittels NIR-Spektroskopie dargestellt. Dazu wurde in den mesenterialen Lymphknoten Indocyan­grün-Flüssigkeit injiziert, welche sich durch die Absorption von Nahinfrarotlicht durch das Gewebe cyan färbt. (Abb. 5) Dadurch könnte eine gezielte Ligatur des Ductus thoracicus durchgeführt, um den Austritt von Lymphflüssigkeit zu stoppen. Für die Perikardektomie und die Lungenlappen­resektion wurde ein minimal-invasives chirurgisches Verfahren mittels Video-assistierter Thorakoskopie (VATS) gewählt um Merlins postoperative Schmerzen und Komplikationen möglich gering zu halten. Zu guter Letzt wurde noch ein Drainagesystem in den Pleuraspalt eingelegt (Abb. 5), über diesen Pleuraport soll, wenn nötig eine postoperative Ansammlung von Flüssigkeit abgezogen werden.

Die histopathologische Untersuchung von Lunge, Perikard und Pleura zeigte keine Hinweise auf Bösartigkeit. Die Veränderung in der Lunge stellte sich histopathologisch als Atelektase mit chronischem Emphysem dar, in Perikard und Pleura finden sich vor allem Hinweise für eine fibrinöse Entzündung.


Zusammenfassung


Merlin ist momentan bei gutem Allgemein­befinden. Zwischenzeitlich war die Medika­menten­eingabe etwas schwierig und Merlin zeigte in der letzten Kontrolle wieder einen ggr Thoraxerguss. Die Prognose für Merlin bleibt weiterhin vorsichtig

Die Nahinfrarotspektroskopie (NIR) hat sich als wertvolles Werkzeug in der Veterinär­medizin etabliert, da sie eine schnelle, minimalinvasive Methode zur Analyse von biologischen Proben bietet. Diese Techno­logie nutzt Licht im nahen Infrarotbereich, um Informationen über die chemische Zusammensetzung von Geweben und Flüssigkeiten zu gewinnen.

Die NIR-Spektroskopie wird verwendet, um durch die Analyse von Gewebeproben oder Körperflüssigkeiten Informationen über den Gesundheitszustand unserer Patienten zu erhalten. Beispielsweise kann die NIR-Technik zur Erkennung von Entzündungen, Tumoren oder anderen pathologischen Veränderungen in Geweben eingesetzt werden. Vor allem wird die NIR aber zur Darstellung von Lymphknoten genutzt und wie in Merlins Fall zur intraoperativen Überwachung in der minimalinvasiven Chirurgie.

Wir konnten den Ductus thoracicus mittels NIR-Spektroskopie darstellen und so eine gezielte Ligatur vornehmen, auch eine Überwachung des Blutflusses in Echtzeit ist mit der NIR-Spektroskopie möglich.

Die videoassistierte Thorakoskopie (VATS) hat sich ebenfalls als eine bedeutende minimalinvasive chirurgische Technik in der Veterinärmedizin etabliert. Sei es zur Diagnosestellung oder im Bereich der Thoraxchirurgie. VATS ermöglicht die Entnahme von Biopsien aus der Lunge oder dem Mediastinum sowie die Entfernung von abnormalem Gewebe oder kann zur Drainage von Flüssigkeiten eingesetzt werden.

Durch minimal-invasive Methoden können wir das Risiko und die postoperativen Schmerzen unseres Patienten verringern und fördern damit ihre schnelle Genesung sowie erhöhen die Lebensqualität.

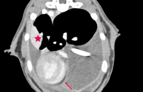
Perikarderguss (Pfeil), strukturelle Lungenveränderung (Stern)
Abb. 1 Perikarderguss (Pfeil), strukturelle Lungenveränderung (Stern)
Verdickte Pleura (Pfeile)
Abb. 2 verdickte Pleura (Pfeile)
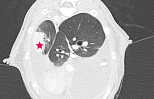
Strukturelle Lungenveränderung (Stern)
Abb. 3 strukturelle Lungenveränderung (Stern)
Darstellung des Ductus thoracicus mittel NIR
Abb. 4 Darstellung des Ductus thoracicus mittel NIR
Darstellung des Ductus thoracicus mittel NIR
Abb. 4 Darstellung des Ductus thoracicus mittel NIR
Röntgenologische Kontrolle des Pleuraports
Abb. 5 röntgenologische Kontrolle des Pleuraports