Dr. Oliver Lautersack bei einem chirurgischen Eingriff.

Ellbogendysplasie beim Hund – FCP

Der Ellbogen des Hundes ist von 4, unterschiedlich häufigen Erkrankungen betroffen Dem FCP, der OCD, dem IPA sowie der Inkongruenz. Alle gehören zu den wachstumsbedingten Erkrankungen der Vierbeiner. In unbehandelten Fällen führt die Ellenbogendysplasie zu schwerer Arthrose, weshalb eine chirurgische Therapie sinnvoll ist.

Die Ellbogendysplasie gehört zu den häufigsten Lahmheitsursachen der Vordergliedmaße beim Hund.  Sie tritt in 2 Altersgruppen auf: Beim Junghund zwischen 6 und 18 Monaten und im mittleren Alter zwischen 5 und 7 Jahren, wo die Erkrankung dann als „Degenerative Ellbow Dysplasia“ (DED) bezeichnet wird.

Besonders anfällig sind Labrador und Golden Retriever, Berner Sennenhund, Deutscher Schäferhund, Riesenschnauzer, Neufundländer und Rottweiler. Jedoch leiden auch Mischlinge vermehrt unter den Formen der Dysplasie.

Nach der klinischen Diagnose werden die Hunde in unserer Klinik direkt im Computertomografen untersucht, sodass genau beurteilt werden kann, welche Gelenksanteile wie schwer betroffen sind, um eine individuelle Therapie festzulegen.

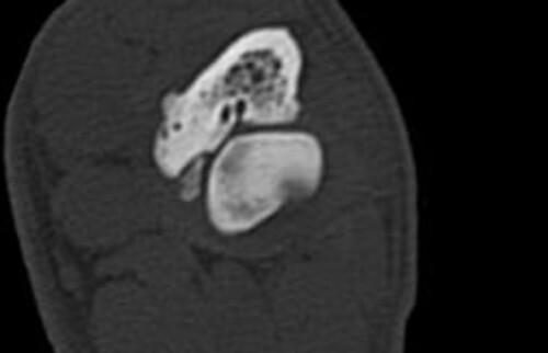
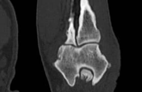
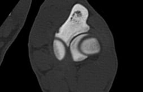
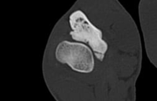
    Unterschiedliche Erscheinungsformen DER ED/DED

    Schwarz-weiss Röntgenaufnahme
    Schwarz-weiss Röntgenaufnahme
    Schwarz-weiss Röntgenaufnahme
    Schwarz-weiss Röntgenaufnahme
    Schwarz-weiss Röntgenaufnahme
    Schwarz-weiss Röntgenaufnahme

    Angebotene
    Therapiemöglichkeiten:

    Wir sind seit vielen Jahren spezialisiert auf die Therapie des Ellbogens beim Hund und setzen alle aktuellen chirurgischen Therapiemöglichkeiten ein.

    • Entfernung eines Fragments/ Arthroskopie
    • Biceps Release Procedure (BURP)
    • Proximale Ulnaosteotomie oder -ostektomie, Double Oblique Ulnaosteotomie
    • Sliding Humeral Osteotomie (SHO)
    • PAUL (Proximal Abducting Ulna Osteotomie)
    • CUE (Canine Unikompartimenteller Ellbogen)
    • Hemiprothese des Ellbogens (Kyon / Movora)

    Unsere Eingriffe erfolgen hauptsächlich arthroskopisch:

    Die überwiegende Anzahl der Ellbogeneingriffe erfolgt arthroskopisch, so dass das Gelenk nicht aufgeschnitten, sondern nur über 2 je etwa 3 mm große Einstiche zugänglich gemacht wird.Neben der geringen Invasivität und guten Toleranz besteht der Vorteil, dass das Gelenk durch die Vergrößerung auf dem Monitor optimal beurteilt und zielgerichtet behandelt werden kann. Da die Arthroskopie wenig schmerzhaft ist, belasten die Hunde direkt nach dem Eingriff die Gliedmaßen wieder gut. Daher ist es problemlos möglich, beide Ellbogen während desselben Eingriffs zu operieren.


    Durch die Arthroskopie:

    • laufen die Patienten deutlich schneller wieder lahmheitsfrei
    • wird das Gelenk erheblich weniger gereizt
    • bestehen deutlich geringere postoperative Schmerzen
    • ist die Zuverlässigkeit des Eingriffs durch die bessere Übersicht erheblich höher

    Die Prognose für die Wiederherstellung der Funktion des Ellbogengelenkes bei Ellbogendysplasie muss sehr individuell für jeden Hund gestellt werden. Grundsätzlich sind die Aussichten auf ein beschwerdefreies Leben durch die heute sehr zielgerichtete und individuelle Behandlung viel besser geworden, als sie vor einigen Jahren noch waren.