Dr. Oliver Lautersack bei einem chirurgischen Eingriff.

Hüftdysplasie (HD) bei Hund und Katze

Frühuntersuchung auf Hüftdysplasie (HD) bei Hunden
und Katzen in der Kleintierklinik Ettlingen bei Karlsruhe

Gesunde Hunde und Katzen sind aktiv, lieben es zu spielen und ihren Körper in alle Richtungen zu bewegen. Damit weiterhin uneingeschränkter Spaß beim Bewegen besteht, sollten Sie mit Ihrem Liebling regelmäßig Vorsorgeuntersuchungen wahrnehmen. Insbesondere die Hüfte Ihres Tieres ist anfällig für Probleme, die die Lebensqualität negativ beeinflussen können.

Eine Hüftdysplasie (HD) bereitet Ihrem Hund oder Ihrer Katze starke Schmerzen und schränkt die Bewegungsmöglichkeiten ein. Die erblich bedingte Erkrankung tritt vor allem bei mittelgroßen bis großen Vier­bei­nern auf. Besonders davon betroffen sind in der Regel die Hunderassen französische Bulldogge und Mops. Bei Katzen sind be­son­ders die größeren Rassen wie Maine Coon und British Short Hair anfällig für eine HD, aber auch jede andere übliche Haus­katze kann daran erkranken.

Durch wohl überlegte Vorsorgemaßnahmen können Sie einer großen Hüft-OP bei Ihrem Tier unter Umständen vorbeugen. Die Vor­teile der Vorsorge sind:

  • die Vermeidung von hohen OP-Kosten
  • das frühzeitige Eingreifen minimiert Probleme im Alter
  • die Möglichkeit das Gelenk zu erhalten besteht noch
  • die Dokumentation von gesundheits­orientierten Zuchten erfolgt
  • die individuelle Anpassung des Fütterungs- und Bewegungsverhalten reduziert das Risiko

Hüftdysplasie beim Hund – Vorsorge bei uns in Ettlingen bei Karlsruhe

Ihr Hund im Alter von vier Monaten gehört einer Rasse an, die oft Hüfterkrankungen entwickeln?

Im jugendlichen Alter kann die weitere Entwicklung der Hüfte sicher und zuver­lässig beurteilt werden, sodass viele therapeutische Optionen bestehen, da schon jetzt Unterschiede in der Stabilität der Hüftgelenke erkennbar sind. Bereits ab einem Alter von fünf Monaten können die Probleme chronisch werden und es wird aufwendiger, die Entwicklung in eine posi­tive Richtung zu lenken und entsprechende Maßnahmen zu treffen. Kommen Sie für eine Frühuntersuchung in unsere Tierklinik in Ettlingen bei Karlsruhe, um eine Hüft­dys­plasie und anschließende invasive Hüft-OP bei Ihrem Hund zu verhindern.

Die Hüft-Untersuchung vor der OP

Um die Hüfte des Tieres optimal unter­suchen zu können, wird der Hund oder die Katze ähnlich wie bei einer OP in eine leichte Narkose versetzt. So lässt sich die Festigkeit und Passform von Hüftkopf und Hüftpfanne am besten beurteilen. Anschlie­ßend werden verschiedene Röntgenbilder angefertigt sowie eine computertomografische Untersuchung durchgeführt. Die ver­schiedenen Einzeluntersuchungen ergeben am Ende ein zuverlässiges Bild über die weitere Entwicklung des Hüftgelenks.

Die kurze Narkose belastet Ihr Tier nicht. Nach etwa 30 Minuten kann es wieder laufen.

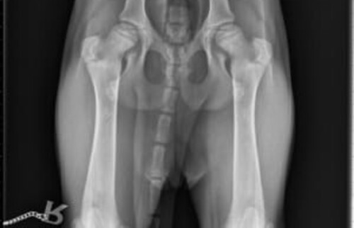
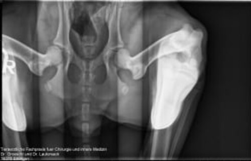
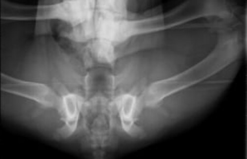
Bilder einer vollständigen Hüftdysplasie-Untersuchung beim Hund

In unserer Tierklinik bei Karlsruhe können unsere Ärzt*innen durch die Aufnahmen eine zuverlässige Prognose für die Weiterentwicklung der Hunde-Hüfte stellen.

Schwarz-weißes Röntgenbild der Hüftgelenke und des Beckens eines Hundes in der Aufsicht.
Schwarz-weißes Röntgenbild der Hüftgelenke eines Tieres mit abgespreizten Hinterbeinen.
Schwarz-weißes Röntgenbild der Hüftgelenke eines Tieres mit abgespreizten Hinterbeinen.
Schwarz-weißes Röntgenbild der Hüftgelenke eines Tieres mit weit nach außen gespreizten Hinterbeinen.
Schwarz-weißes CT-Querschnittbild der Hüftgelenke eines Tieres.

Welche Möglichkeiten ergeben sich aus der Untersuchung?

Unser Team, bestehend aus Fachärzt*innen, kann auch bei älteren Hunden – und auch bei Katzen mit HD – dank der sich stetig weiterentwickelnden Medizin und Technik wirkungsvolle Behandlungen durchführen. Falls Ihr Hund älter ist und eine krankhaft lockere Hüfte hat, aber noch keinen Gelenk-Verschleiß vorweist, kann er beispielsweise durch eine zweifache Beckenosteotomie (DPO) von Problemen und Schmerzen befreit werden. Durch die sehr effizienten und schonenden Hüft-OP-Techniken belasten die Hunde das operierte Bein bereits am nächsten Tag wieder fast wie üblich. Im besten Fall führt die Hüft-OP dazu, dass der Hund ein Leben lang sein natürliches Hüftgelenk behält.

Sollte sich bei der Untersuchung in unserer Tierklinik bei Karlsruhe eine schwere Hüft­dysplasie Ihres Hundes oder Ihrer Katze herausstellen, kann heutzutage durch moderne Endoprothetik sehr sicher und wenig invasiv lebenslang geholfen werden. Die erstklassigen Implantate heilen optimal ein und zeichnen sich durch sehr geringen Verschleiß aus. Die Implantation einer Hüftendoprothese dauert im Schnitt etwa 1–1,5 Stunden. Der Eingriff ist gering invasiv, sodass die Tiere das Bein bereits am Folgetag wieder leicht belasten können. Auch in diesen schweren Fällen können wir also aufgrund unserer ausgezeichneten Erfahrung und Spezialisierung auf dieses Gebiet etwas für Ihr Haustier tun.

Zu Komplikationen kommt es bei diesen sehr standardisierten Eingriffen extrem selten.

Links sind die Hoden, rechts der Penis zu sehen. Die Schnittlänge entspricht in etwa der einer Kastration (sog. präskrotal).
Abb.: Links sind die Hoden, rechts der Penis zu sehen. Die Schnittlänge entspricht in etwa der einer Kastration (sog. präskrotal).

Haben Sie Fragen zu unseren Untersuchungsmethoden oder zum Ablauf der Hüft-OP Ihres Haustiers? Sprechen Sie uns einfach an!

Wir, Ihr Team der Tierärztlichen Klinik für Chirurgie in Ettlingen, beraten Sie gerne!