Bildgebende Diagnostik
Dr. Lautersack untersucht einen Dackel vor einem Magnetresonanztomografen.

Endoskopie

Die endoskopische Untersuchung ermöglich die Betrachtung der Schleim­häute verschiedenster Körperhöhlen. In erster Linie wird die endoskopische Untersuchung genutzt zur weiter­führ­enden Beurteilung des Respirations­trak­tes, des Gastrointestinaltraktes und des Urogenitaltraktes.

Hierzu stehen in der Klinik eine Vielzahl von starren und flexiblen Endoskopen zur Verfügung. Durch die Verfügbarkeit ver­schie­denster Endoskope können nahezu sämtliche Körperhöhlen unterschiedlicher Tiergrößen beurteilt werden. Die Beurteilung der Organsysteme beruht in den meisten Fällen nicht nur auf einer endoskopischen Betrachtung der Schleimhaut, sondern vor allem auf der Beprobung der Schleimhaut durch Biopsieentnahme, Gewinnung von Spülproben oder anderweitigen zyto­lo­gischen Proben. Die weiterführende Aufarbeitung dieser Proben ermöglicht in der Regel erst die Diagnosestellung.

Die Endoskopie dient natürlich nicht nur der Diagnostik sondern auch der Therapie. Endoskopisch gestützt können Fremdkörper aus den verschiedenen Körperhöhlen extra­hiert werden und struk­turelle Verän­der­ung­en, zum Beispiel Polypen, können endosko­pisch gestützt entfernt werden. Zudem können Ernährungssonden, vor allem Magensonden, mit Hilfe der Endoskopie minimalinvasiv gelegt werden und somit kann die Ernährung von Patienten gewähr­lei­stet werden. Die Endoskopie kann unter Verwendung von spezifischem Equipment auch für die Injektion von Kortison in über­schüssiges Gewebe, zur Dilatation von Strikturen und zum Einlegen von Stents genutzt werden.

Entzündliche Veränderung der Schleimhaut mit sichtbaren Reizungen und Belägen (z. B. Ösophagitis).
Endoskopische Entfernung eines Fremdkörpers (z. B. Kauknochen) aus der Speiseröhre mittels Fasszange.
Darstellung einer raumfordernden Gewebezubildung (Tumor oder Polyp), die den Atem- oder Speiseweg stark einengt.
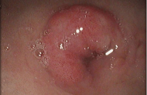
Endoskopische Ansicht einer knotigen Schleimhautveränderung (z. B. Polyp oder kleiner Tumor).
Blick in den Nasenrachenraum: Untersuchung auf Entzündungen oder Veränderungen im Bereich der oberen Atemwege.
Endoskopischer Befund von tiefen Schleimhautdefekten (Geschwüren/Ulzera) und entzündlichen Auflagerungen.